Puzzle – kocour s vykloubenou kyčlí

Puzzle byl mladý kocourek, kterého ale stačila v životě potkat moc ošklivá smůla.

Když ho našli, tahal za sebou zadní nohu a kdo ví, jak by to s ním dopadlo, kdyby ho nálezci neodnesli k veterináři. Nebyl kastrovaný ani čipovaný, zřejmě ho nikdo ani nepostrádal…

Jaké měl Puzzle trápení?

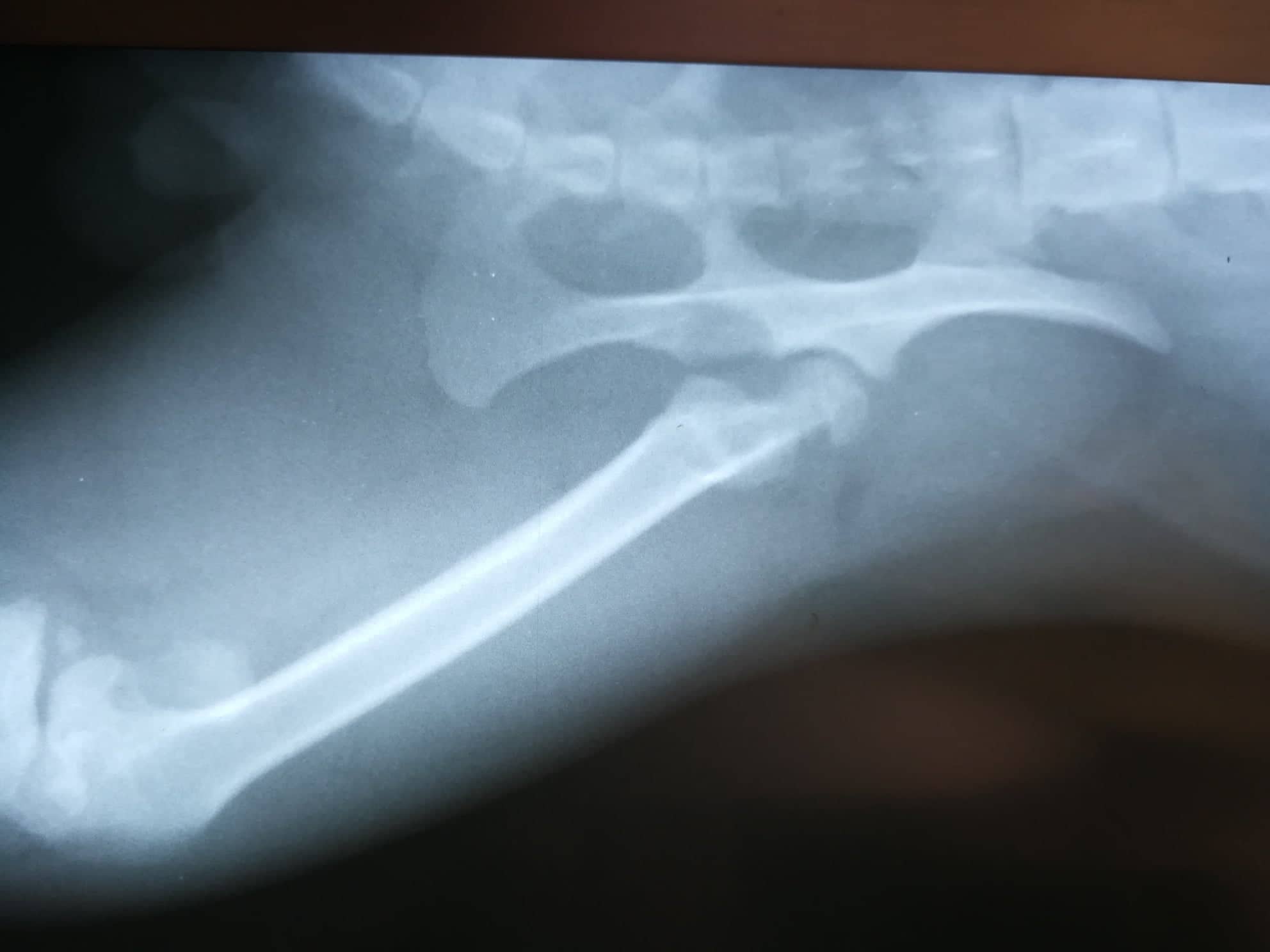
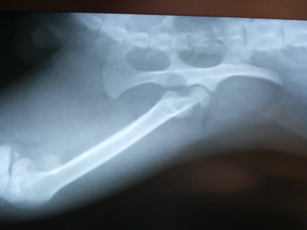
Rentgen ukázal, že Puzzle měl starou zlomeninu nohy a k tomu vykloubenou kyčel. Kocourek měl zal sebou jistě hodně bolesti… Dělali jsme vše pro to, aby vyhrál svůj boj a dostal svou šanci najít si novou rodinu a mít konečně milující páníčky.

Puzzle podstoupil dvě operace

Nejdřív bylo nutné Puclíkovi dát do pořádku kyčel. Operace dopadla dobře. Pak ale bylo potřeba ještě opravit zlomenou zadní packu. Pan veterinář kocourkovi nožku krásně zpevnil. Mysleli jsme, že to byla Puclíkova poslední překážka na cestě ke šťastnému životu plnému rozmazlování…

Puzzlík je po operaci

Bohužel po druhé operaci se situace zkomplikovala. Rána začala hnisat, a tak musel kocourek Puzzle rychle zpátky na veterinu. Zjistilo se, že v ráně má velmi odolné bakterie, proto bylo nutné nechat udělat kultivaci, abychom věděli, jaká léčba pro něj bude nejlepší. A tak místo zaslouženého rozmazlování v azylu přišla dlouhá hospitalizace… Puzzle byl několik měsíců na veterině, kde mu ránu pravidelně čistili a také s ním cvičili, aby posílil svaly a mohl znovu bez bolesti chodit.

Teď už má ale Puzzlík cvičení konečně za sebou a mohl podstoupit důležitou operaci! Pan doktor Puzzlíkovu nožičku tentokrát zpevnil zvnějšku a vypadalo to dobře.

Byli jsme moc rádi, že má Puzzle konečně po operaci a těšili jsme se, až bude konečně zdravý a bude si moct začít užívat normálního kočičího života. Jsme moc vděční, že spolupracujeme s tak úžasným panem veterinářem, který Puzzlovi dopřál tu nejlepší péči a za dobu jeho pobytu na veterině nám dokonce účtoval jen poplatky za krmení a veterinární náklady.

Puzzlíka začaly trápit ledviny

Kocourkovi se bohužel začaly zhoršovat ledviny a musel pravidelně dostávat infuze. Po operaci si proto na veterině pobyl nějaký čas navíc.

Návrat do azylu

Pan doktor propustil Puzzlíka z veteriny! Téměř jsme tomu nemohli uvěřit, ale je to tak – Puzzle je v azylu. Vypadalo to, že se nožička hojí dobře, což byla skvělá zpráva. Bohužel nám ale dělaly starost kocourkovy ledvinové hodnoty, které nebyly dobré.

Na Puzzlovi se to nejprve nijak neprojevovalo – není mu špatně, papá, má hezkou srst. Kdybychom neviděli jeho krevní testy, snad by nás ani nenapadlo, že mu něco je.

Puzzle odešel za duhový most

Doufali jsme, že Puzzlíkův stav zůstane stabilizovaný a stihne si ještě užít trochu toho kočičího štěstí. Bohužel se pak ale jeho ledvinové hodnoty během pár hodin rapidně zhoršily a pan doktor naznal, že pro něj už opravdu nemůžeme nic udělat a doporučil proto eutanazii. Vzhledem k tomu, že další pobyt na tomto světě by pro Puzzlíka představoval jen utrpení, rozhodli jsme se k tomuto kroku přistoupit.

Puzzlíkův odchod nás mrzí o to více, že jeho nemocná nožička, kvůli které k nám vlastně přišel, se hojila dobře a vypadalo to, že mu pomalu ale jistě budeme moci začít hledat nový domov. Osud tomu ale chtěl jinak. Puzzlíka zradily ledviny a svého vlastního „doma“ se nedočkal.

Díky podpoře vás všech, kdo jste ho sledovali a podporovali, se mu dostalo veškeré veterinární péče, kterou potřeboval. Z tohoto světa i díky vám odcházel s vědomím, že jsou tu lidé, kterým na něm záleží. Za to vám patří nesmírný dík.

Naplnit mističku

Zvířátka v nouzi jsou závislá na lidské pomoci. Podpořte je ještě dnes zasláním libovolného příspěvku a pomozte jim tak zajistit vše, co budou potřebovat. Přispět můžete přímo na č. ú. 2288471053/5500, VS 1403 nebo skrz bezpečný portál Darujme.

Jednorázově
Měsíčně

Co bude za částku pořízeno?

Další zvířata

Lupínek přišel z pekla. Doslova. Narodil se v množírně, kde na zvířatech nezáleželo.

39 110 Kč
cíl 35 000 Kč

Co když se z něčeho tak základního, jako je chůze, stane zdroj bolesti a trápení?

Oříšek náhle přestal chodit na zadní nohy...

Přijali jsme maličké koťátko s velkou rýmou.

Odebírejte náš newsletter

Přihlaste se k odběru zvířecích novinek, které vás dojmou i zahřejí na srdci.

© 2026Pet Heroes z.s., IČO: 01552309, DIČ: CZ01552309, Hlavatého 663/15, 149 00 Praha